티스토리 뷰
자주 코가 막히고, 코감기, 목감기에 걸리면 유독 코가 자주 막히고 잘 낫지 않으신가요? 저도 비슷한 증상이 있어서 이비인후과에 갔더니 비중격만곡증이 심하다고 수술이 필요하다고 합니다. 이번 포스팅에서는 비중격만곡증의 원인 | 증상 | 치료 및 수술 비용, 실비보험 처리에 대해서 알아보겠습니다.

| 목 차 1. 비중격만곡증의 원인 | 증상 2. 비중격만곡증 치료 및 수술 3. 비중격만곡증 수술 비용 및 실손보험 정리 |
비중격만곡증의 원인 | 증상
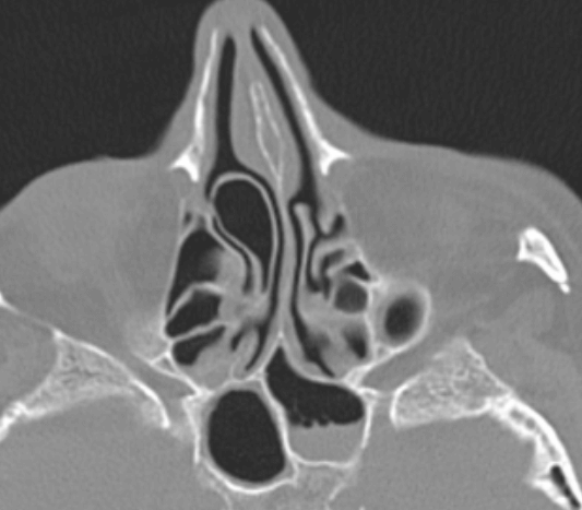
비중격이란 코의 중앙에 수직으로 위치하여 코 내부 공간을 좌우로 나누는 벽을 비중격이라고 합니다.

이 비중격이 휘어진 것을 비중격만곡이라고 합니다. 포유동물의 비중격은 반듯하지만 사람의 비중격은 다소 굽어 있는 것이 일반적이라 대부분의 사람들은 비중격이 좌측 또는 우측으로 휘어져 있습니다.
실제로 비중격이 굽은 사람이 굽지 않은 사람보다 훨씬 많기 때문에 어떻게 보면 일반적인 것이라고 할 수 있지만, 비중격 만곡으로 인해 코막힘, 후비루, 수면 장애, 수면 무호흡 등의 건강 이상 증상이 있을 때에는 '비중격 만곡' 질환이라고 할 수 있습니다.
1. 비중격만곡증 원인


비중격만곡증은 대부분 외부의 충격으로 인해 휘어지는 경우가 가장 많습니다.
이 외에 선천적인 경우, 성장기에 코 겉의 뼈보다 안에 있는 비중격이 먼저 성장하면서 휜 경우 등도 있습니다.
2. 비중격만곡증 증상
아래와 같은 증상이 반복적으로 비슷하게 나타나는 경우에는 비중격만곡증을 의심해보아야 하며, 가까운 이비인후과에 내원하시어 전문의의 진찰을 받아보셔야 합니다.

1) 축농증 등 만성 코 질환이 없는데도 항상 코가 막히고 목에 가래가 있다고 호소하는 경우
2) 비중격 만곡증 환자는 감기만 걸려도 코가 완전히 막혀서 입으로만 숨이 쉬어지는 경우
3) 심한 코골이, 수면 장애, 주의 산만, 코 주위의 통증, 기억력 감퇴가 발생하는 경우
4) 비중격 만곡으로 인한 압력으로 인해 두통 및 안면부 통증이 느껴지는 경우
5) 비강이 건조해지고 각질화가 일어나 부비동염이 자주 발생하는 경우
6) 콧물이 목 뒤로 넘어가는 후비루 증상이 반복적으로 나타나는 경우
비중격만곡증 치료 및 수술
1. 비중격만곡증 치료
비중격만곡증을 치료하기 위해서는 대표적으로 약물치료와 비중격교정술을 받으셔야 합니다. 초기에는 증상을 관리하는 데 초점을 맞추어, 콧물을 줄이는 항히스타민제 또는 염증을 줄이는 비강 스테로이드 스프레이를 처방받아 치료를 시작합니다.


하지만 비중격만곡증은 코 구조의 이상이기 때문에 약물치료에는 한계가 있습니다. 약물치료 만으로 증상에 호전이 있는 경우에는 지속적인 약물치료로 염증 발생을 억제시킬 수 있지만 근본적인 해결이 어렵습니다.
결국 근본적인 치료법은 휘어진 비중격을 교정해 주는 비중격교정술이라고 할 수 있습니다.
지역별 이비인후과 | 비중격만곡증 수술 잘하는 곳 | 수술 비용 | 수술 후기
실제 환자의 시술 후기, 병원/의사 솔직한 리뷰와 투명한 가격 정보(무료)
| ✅ 서울 | ✅ 부산 | ✅ 울산 | ✅ 대전 |
| ✅ 인천 | ✅ 대구 | ✅ 광주 | ✅ 수원 |
| ✅ 세종 | ✅ 창원 | ✅ 경기 | ✅ 경북 |
| ✅ 경남 | ✅ 전북 | ✅ 전남 | ✅ 충북 |
| ✅ 충남 | ✅ 강원 | ✅ 제주 |
2. 비중격만곡증 수술
휜 비중격을 곧게 만들어 공기의 흐름을 개선시켜 주는 수술을 비중격교정술 또는 비중격성형술이라고 합니다.

부분마취 및 수면마취 또는 경우에 따라 전신마취를 하여 코 안쪽을 조금 절개를 하여 점막과 연골을 분리시킨 후 휘어진 비중격을 절제하여 다시 원위치시키는 수술입니다.
이때 코의 모양을 변경하는 수술인 코성형술을 함께 하기도 하는데요, 이렇게 진행하는 수술을 비중격-코성형술이라고 부릅니다.
충분한 휴식을 취하고 코에 무리를 주는 활동, 예를 들어 무거운 물건 들기, 달리기, 코 풀기를 피해야 합니다. 대부분의 사람들은 며칠 내로 직장이나 학교에 다닐 수 있으며, 3~6주 내로 모든 활동을 다시 시작할 수 있습니다.
✅ 비중격만곡증 수술 과정 실제로 따라가보기( 접수 ~ 퇴원 )
비중격만곡증 수술 과정 실제로 따라가보기
안녕하세요^^제가 삼성드림이비인후과 강남점을 찾은 이유는 평소 코막힘 증상이 너무 심했기 때문입니다. CT를 찍고 진료를 받아보니 비중격 연골이 휘어있는
www.ssdream.co.kr
비중격만곡증 수술비용 및 실비보험 정리
아무래도 수술 비용적인 부담으로 걱정하시는 분들이 있습니다. 적게는 50만원에서 많게는 100만원까지 병원마다 차이가 납니다. 하지만 비중격만곡증 수술비용 차이 20만원 ~ 30만원 때문에 병원을 결정하기보다는 병원의 전문의와 수술 사례 및 후기 등을 종합적으로 고려하여 선택하셔야 합니다.
잘 아시겠지만 미용을 목적으로 한 코성형은 일반적으로 실비보험이 적용되지 않습니다. 그러나 비중격만곡증은 치료 목적이기 때문에 실비보험 처리가 가능합니다.
요즘은 대부분 한 두개 정도는 보험가입을 해두고 계셔서 비중격만곡증 수술 보험혜택이 가능한 항목으로 청구를 한다면 각 상품마다 환급금은 달라질 수 있지만 보통은 80~90%까지 환급을 받아 부담을 덜 수 있습니다.
지역별 이비인후과 | 비중격만곡증 수술 잘하는 곳 | 수술 비용 | 수술 후기
실제 환자의 시술 후기, 병원/의사 솔직한 리뷰와 투명한 가격 정보(무료)
| ✅ 서울 | ✅ 부산 | ✅ 울산 | ✅ 대전 |
| ✅ 인천 | ✅ 대구 | ✅ 광주 | ✅ 수원 |
| ✅ 세종 | ✅ 창원 | ✅ 경기 | ✅ 경북 |
| ✅ 경남 | ✅ 전북 | ✅ 전남 | ✅ 충북 |
| ✅ 충남 | ✅ 강원 | ✅ 제주 |





